
Elizabeth Restrepo Rojas
LA PATRIA | Manizales
Hasta el pasado 30 de junio, Olga Gómez tenía serias dificultades para ver con claridad por su ojo izquierdo. La manzanareña, de 83 años, aseveró que desde hace año y medio estaba muy mal y que lo único que observaba eran “unas nubes”.
15 años atrás también había sufrido de cataratas en ambos ojos y no quería que en esta oportunidad la condición que presentaba le impidiera realizar sus actividades normales. Buscó ayuda y tras una revisión inicial fue remitida a donde el médico oftalmólogo Sergio Jaramillo Ángel.
Su caso
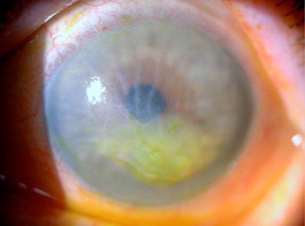
El profesional, tras unos exámenes, encontró en la paciente una descompensación corneal producto del desgaste del endotelio, la capa más interna de la córnea. La sugerencia del médico fue la intervención quirúrgica y para ello requerían de un donante.
“No se le trasplantó la córnea completa, solo se hizo el paso del endotelio. Cuando la enfermedad solo es de esta parte, la gran ventaja es que se pasa solo la capa de las células endoteliales por una herida de cuatro milímetros y el procedimiento no resulta tan inseguro. Lo trasplantado mide cerca de 200 micras de grosor, equivalente a 0.2 milímetros”, dijo.
Jaramillo Ángel señaló que es posible que la descompensación de la córnea se dé después de procedimientos quirúrgicos, condiciones genéticas o también por la edad del paciente.
Sobre qué tan invasiva resulta la cirugía, respondió: “Es un procedimiento mínimamente invasivo, porque hay que hacer una pequeña incisión en el ojo. Sin embargo, a comparación del trasplante completo y convencional, es mucho más seguro, ya que el ojo no va a estar tan expuesto al aire y se van a aminorar los riesgos”, resaltó.
El oftalmólogo Jaramillo indicó que la visión mejora enormemente tras el procedimiento, debido a que el paciente pasa de ver empañado a tener una visión óptima. Agregó que suele darse una recuperación muy rápida y que después de un mes solo tiene que retirar entre dos a tres suturas.
Con respecto al caso de Olga Gómez apuntó: “El proceso fue muy gratificante, porque había esperado mucho y por ese ojo no veía nada. Para ella era incómodo, iba a mi consultorio cada mes a que le pusiera un lente de contacto especial para disminuir su dolor”.
De toda la historia, la más feliz es Olga: “Veo de todo y por los dos ojos. El doctor Sergio tiene manos benditas, no tengo cómo pagarle. No volví a sentir nada”, concluyó.
Donación
La donación de la estructura requerida para la cirugía se recibió del Banco de Ojos - Regional Antioquia, a través de la Red Nacional de Trasplantes. La paciente estuvo en lista de espera por año y medio.

DESPUÉS: Así se vio el ojo de la paciente tras la cirugía. Es evidente la transparencia de la córnea.

Sergio Jaramillo Ángel, médico oftalmólogo supraespecialista en córnea, retina y vítreo.
El uso de este sitio web implica la aceptación de los Términos y Condiciones y Políticas de privacidad de LA PATRIA S.A.
Todos los Derechos Reservados D.R.A. Prohibida su reproducción total o parcial, así como su traducción a cualquier idioma sin la autorización escrita de su titular. Reproduction in whole or in part, or translation without written permission is prohibited. All rights reserved 2015