
Laura Barrios Q.
LA PATRIA | Manizales*
Ver bajo un microscopio cómo funcionan algunos tratamientos contra el cáncer, cómo succiona una garrapata la sangre o cómo luce con detalle cualquier parte de un insecto es posible gracias a la fotografía científica.
Esta reproduce imágenes que nuestros ojos, sin su ayuda, no podrían percibir. Su objetivo es registrar y difundir la realidad y es el principal elemento de trabajo para comunicar la ciencia.
Ha jugado un papel importante: con fotografías se consiguió validar la Teoría de la Relatividad de Albert Einstein. En 1931 se retrataron protones y electrones, captando imágenes en las llamadas cámaras de niebla. Se logró reconstruir parte de la historia de la vida al retratar el ADN mitocondrial (parte de la célula encargada de generar energía).
Esta fotografía se divide en dos categorías de acuerdo con el tamaño de la imagen obtenida y el tamaño del objeto fotografiado. La fotomacrografía; permite tener una imagen detallada de grandes o pequeñas dimensiones. La fotomicrografía: registra objetos que por su tamaño son difícilmente visibles. Su imagen se proyecta a través de un microscopio y se captura con una cámara que tiene insertada.
Macrofotografía

Fotos con gran aumento que logran gran profundidad de campo. Por ejemplo: si el tamaño de una hormiga en la foto es igual o más grande que su tamaño en la vida real, es una imagen macro.
Alta velocidad

Se usa para congelar el movimiento de objetos o situaciones que ocurren en fracciones de tiempo muy pequeñas. Se aplica en biología, balística, ingeniería (para pruebas de colisión de carros) y farmacéutica (par ver el comportamiento de aerosoles). En el centro interactivo Bioma, en el Ecoparque Los Yarumos, cuentan con dos cámaras de alta velocidad.
Microscopía electrónica

Ofrece gran resolución pues utiliza electrones (partícula de átomos con la mínima carga eléctrica negativa) en vez de luz. Para practicarla se necesita: una cámara al vacío, una columna donde se genera y viaja el haz de electrones, un sistema óptico que forma una imagen en una pantalla fluorescente o en una placa fotográfica y un circuito electrónico que estabilice el voltaje. Permite observar objetos desde un centímetro hasta un nanómetro.
Ultravioleta próximo

Captura imágenes entre los 320 y 400 nm. Permite ver dibujos ocultos en flores, manchas en la piel humana, algunas enfermedades, marcas en las mariposas y falsificaciones en cheques.
Infrarrojo cercano

Captura imágenes entre los 700 y 1.000 nm. Destaca la vegetación sana, por lo que es usado en la espectrometría . A nivel forense distingue sangre, pólvora y ciertas tintas y tejidos.
La Universidad Católica de Manizales hace uso de estas técnicas en sus estudios a la capa vegetal del Nevado del Ruiz.
*El ojo humano solo puede ver entre los 400ny 680 nm.
*Nanómetro (nm): unidad de medida que equivale a una millonésima parte de un metro.
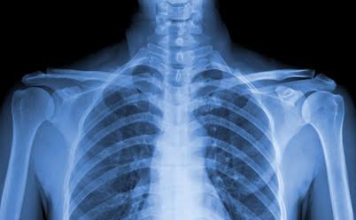
Rayos X

También llamada radiografía, es un medio de diagnóstico utilizado en la medicina. Se utiliza también para descubrir defectos en tuberías y piezas mecánicas.
Astronómica

Al colocar una placa fotográfica en el foco de un telescopio los astrónomos pueden obtener imágenes exactas de los cuerpos celestes. Comparando fotografías de la misma zona del cielo, tomadas en diferentes momentos, se pueden detectar sus movimientos.
*Con ayuda de técnicas informáticas se consiguen imágenes detalladas y exactas procedentes de fotos borrosas y alejadas. Se digitaliza la información y después los ordenadores la reproducen con mayor definición.
*El fenómeno de la fotografía científica no es actual, se ha desarrollado a la par con la fotografía general. La combinación de ciencia e imagen significa una unión relevante para el desarrollo de ambas.
*En los laboratorios se suelen utilizar cámaras Polaroid para obtener imágenes de resultados de investigaciones con rapidez.
***Con información de EFE y la revista Muy interesante.
El uso de este sitio web implica la aceptación de los Términos y Condiciones y Políticas de privacidad de LA PATRIA S.A.
Todos los Derechos Reservados D.R.A. Prohibida su reproducción total o parcial, así como su traducción a cualquier idioma sin la autorización escrita de su titular. Reproduction in whole or in part, or translation without written permission is prohibited. All rights reserved 2015